Органоиды клетки

Немембранные органоиды
Цитоскелет - внутренний каркас клетки.


Состоит из:
1) Микротрубочки:
• состоят из белка тубулина;
• выполняют транспортную функцию;
• выполняют опорную функцию;
• участвуют в поддержании формы клеток;
• обеспечивают циклоз (движение цитоплазмы);
• участвуют в образовании органоидов движения – ресничек и жгутиков (у эукариот, у прокариот жгутики состоят из белка - флагеллина); веретена деления и центриолей центросомы (клеточного центра), базальных телец.

2) Микрофиламенты
- состоят из белка актина;
• сокращение нитей актина обеспечивает изменение вязкости цитоплазмы и ее движение (циклоз);
• участвуют в мышечном сокращении (скольжение актиновых нитей вдоль миозиновых);
• выполняют опорную функцию, участвуют в поддержании формы микроворсинок кишечника;
• обеспечивают эндо- и экзоцитоз, амебоидное движение (то есть участвуют в изменении формы клеток).
3) Промежуточные филаменты:
• в основном состоят из белка кератина;
• выполняют опорную функцию;
• характерны для животных клеток;
• участвуют в формировании межклеточных контактов (десмосом).
Клеточный центр (центросома)
• Состоит из 2-ух перпендикулярно расположенных центриолей и центросферы (уплотненной части цитоплазмы, окружающей центриоли);
• Каждая центриоль состоит из 9-ти комплексов микротрубочек, а каждый комплекс микротрубочек состоит из 3-х микротрубочек соответственно (9 триплетов микротрубочек);
• Состоит (в основном) из белка тубулина;
• Расположен вблизи ядра (так как образует веретено деления);
• У высших растений в клетках отсутствует (В ЕГЭ в тестовой части можно встретить формулировку «отсутствует у всех растений» – это допущение).

• Состоит из 2-ух перпендикулярно расположенных центриолей и центросферы (уплотненной части цитоплазмы, окружающей центриоли);
• Каждая центриоль состоит из 9-ти комплексов микротрубочек, а каждый комплекс микротрубочек состоит из 3-х микротрубочек соответственно (9 триплетов микротрубочек);
• Состоит (в основном) из белка тубулина;
• Расположен вблизи ядра (так как образует веретено деления);
• У высших растений в клетках отсутствует (В ЕГЭ в тестовой части можно встретить формулировку «отсутствует у всех растений» – это допущение).
Функции
• Участвует в формировании цитоскелета;
• Является центром организации микротрубочек;
• Участвует в делении клетки – образует веретено деления.
Рибосома
Состоят из 2-ух субъединиц (большой и малой):
• Включают в состав белки и р-РНК;
• Бывают двух типов: 80S – встречаются у эукариот и 70S – встречаются у прокариот и в полуавтономных органоидах;
• Большинство рибосом крепится к поверхности ЭПС, меньшая часть — свободно плавает в цитоплазме;
Могут образовывать полисомы (полирибосомы) — скопления из нескольких десятков рибосом и и-РНК (м-РНК).
• Значение полисом: образование большего количества белка за единицу времени (повышение эффективности биосинтеза белка).
Функция рибосом
• Биосинтез белка (трансляция).

Одномембранные органоиды
Эндоплазматическая сеть – ЭПС (ЭПР).
Это одномембранная клеточная структура, которая представляет собой систему многочисленных замкнутых канальцев, цистерн и полостей, пронизывающих всю цитоплазму.
• Делит клетку на компартменты (функциональные части/отсеки) – компартментализация* клетки;
• Обеспечивает ВНУТРИКЛЕТОЧНЫЙ транспорт веществ во все части клетки;
• Различают два вида:
- шЭПС (шероховатая/гранулярная ЭПС) Обычно расположена ближе к ядру (продолжение ядерной мембраны). Функция: синтез белка, поэтому хорошо развита в тканях, где идет активный процесс синтеза веществ белковой природы (например, в нервной ткани);
- гЭПС (гладкая/агранулярная ЭПС) Функция: синтез углеводов и липидов, а также детоксикация (обезвреживание вредных веществ). Хорошо развита в органах, где происходит синтез веществ липидной природы (например, в надпочечниках).
*Отдельные виды компартментов представлены другими мембранными органоидами (митохондрии, хлоропласты и тд.).

Аппарат (комплекс) Гольджи
Представляет собой систему мембранных стопок (мешочков), цистерн, трубочек, пузырьков и пероксисом;
• Структурно-функциональная единица – диктиосома;
• Имеет два полюса:
- цис–полюс: расположен ближе к ядру, обращен к ЭПС, так как принимает и накапливает синтезированные в ней вещества;
- транс–полюс: обращен к цитоплазматической мембране.
Функции:
• Модификация (созревание) веществ (белков, жиров и углеводов);
• Упаковка веществ в секреторные пузырьки (везикулы) и гранулы;
• Транспорт веществ ИЗ КЛЕТКИ - секреция (поэтому хорошо развит в железистых клетках);
• Временное накопление веществ;
• Образование лизосом и пероксисом;
• Синтез гликокаликса животной клетки (то есть участвует в обновлении мембраны) и клеточной стенки растений.

Путь синтеза и транспорта веществ (из клетки).
На ЭПС происходит синтез молекул (белковых, так как изображен гранулярный ретикулум) Белковые молекулы в составе транспортной везикулы (пузырька) направляется к цис-полюсу аппарата Гольджи Белки, поступившие в комплекс Гольджи, модифицируются и перемещаются по цистернам к противоположному полюсу транс-полюсу, обращенному к цитоплазматической мембране.
В цистернах транс-полюса происходит разделение и сортировка молекул по химическому составу и назначению. Белки упаковываются в секреторные везикулы (пузырьки), направляются к цитолемме и удаляются из клетки путем экзоцитоза.

Лизосома
• Одномембранный пузырек;
• Содержит гидролитические ферменты;
• В зрелых лизосомах — кислая среда;
• Образуется и отшнуровывается от аппарат Гольджи;
• Бывают первичные (только образовавшиеся в АГ), вторичные (пищеварительная вакуоль = лизосома + фагосома) и третичные (телолизосомы/остаточные тельца – содержат непереваренные остатки веществ).
Функции
• Расщепление полимеров до мономеров, то есть обеспечение внутриклеточного пищеварения;
• Защитная — разрушение вредных в-в и «сломанных» органоидов и клеток.
Автолиз — высвобождение гидролитических ферментов лизосомы при разрушении ее мембраны, сопровождающееся саморастворением клетки.
Аутофагия — разрушение старых и ненужных органоидов клетки внутри лизосомы.

Пероксисома
• Образуются аппаратом Гольджи;
• Есть у всех эукариот;
• Некоторые имеют в сердцевине кристаллическую часть;
• Обеспечивают протекание окислительновосстановительных реакций (например, фермент каталаза разлагает пероксид водорода до воды и кислорода).
Вакуоль
• Одномембранный мешочек (мембрана – тонопласт);
• Заполнена клеточным соком (то есть обеспечивает запас воды и питательных веществ – глюкозы, белков и тд);
• Обеспечивает внутриклеточное (тургорное) давление клетки;
• Регуляция водно-солевого баланса;
• Возможно накопление пигментов (например, антоцианов – придают сине-фиолетовую окраску);
• В некоторых случаях выполняют функции лизосом.

Двумембранные органоиды
Митохондрия
• Наружная мембрана — гладкая, а внутренняя имеет множество складок и выростов (крист) для увеличения площади рабочей поверхности;
• Во внутреннюю мембрану встроено множество ферментов, в том числе АТФ-синтазы (АТФ-фаза/ АТФ-синтетаза/АТФ-сома/ грибовидное тело);
• Между мембранами — межмембранное пространство;
• Полость, образованная внутренней мембраной, заполнена жидким матриксом;
• Является полуавтономным органоидом клетки.
Функция:
• Синтез АТФ, окисление органических веществ в до конечных продуктов — СО2 и Н2О.

Пластиды
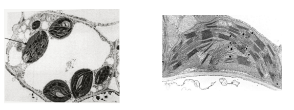
Хлоропласт
Имеет зеленый цвет за счет пигмента хлорофилла;
• Имеет две мембраны — наружную и внутреннюю;
• Есть внутренние мембранные структуры, увеличивающие площадь рабочей поверхности — тилакоиды (одномембранные мешочки), граны (стопки тилакоидов), все это соединено ламеллами (длинными трубками);
• Внутренняя полость заполнена жидкой стромой;
• Образуются из пропластид, могут превращаться в другие пластиды (хромо- и лейкопласты);
• Является полуавтономным органоидом клетки;
• Функция: фотосинтез.


Лейкопласт
• Не имеют пигментов (бесцветные);
• Могут превращаться в хромо- и хлоропласты;
• Функция: запас питательных веществ (например, крахмала).
Хромопласт
• Имеют красные, желтые и оранжевые пигменты – каротиноиды (каротины и ксантофиллы);
• Не могут превращаться в другие пластиды;
• Встречаются у стареющих растений;
• Функция: придают окраску различным частям растений (к примеру, цветкам и плодам).

Характеристика полуавтономных органоидов
• Имеют собственную кольцевую молекулу ДНК;
• Способны к воспроизведению путем удвоения (деления надвое);
• Имеют собственный аппарат синтеза белка — 70S рибосомы;
• Наружная мембрана по составу сходна с эукариотической, внутренняя — с прокариотической.
Такие органоиды не могут существовать вне клетки, поскольку не способны к самостоятельному синтезу необходимого количества белка (остальная часть поставляется из цитоплазмы).
Гипотеза симбиогенеза (эндосимбиоза)
Митохондрии и хлоропласты были некогда свободноживущими прокариотами, наподобие бактерий. Эти прокариоты, случайно проникнув в клетку-хозяина, вступили с ней во взаимовыгодные отношения — симбиоз, то есть не переварились и впоследствии стали двумембранными органоидами. Причём митохондрии оказались внедрены во все клетки эукариот, а хлоропласты — только в растительные клетки.
• Клетка эукариот защищала органоиды от губительного воздействия факторов внешней среды;
• Хлоропласты обеспечили фотосинтез у эукариот;
• Митохондрии обеспечили аэробное дыхание у эукариот и более эффективный синтез АТФ.


Популярные статьи
Дата публикации: 09.10.2025 21:25
Поделиться



